头皮养护是个什么东西?如何正确的保养头皮?
2020-02-12 20:11发布
骆收港
头皮和面部皮肤的基本结构相同,都是由表皮、真皮和皮下组织构成。
皮肤组织结构示意图,如下。
头皮和面部皮肤相比,还有几个比较特别的地方:01特点一:头皮的厚度大约是1.476毫米,脸颊上皮肤的厚度大约是1.533毫米,鼻子上皮肤的厚度大约是2.040毫米[1]。这也就是说,头皮比面部大部分位置的皮肤都要薄。02特点二:头皮上的皮脂腺密度大约是144-192个/平方厘米 ,额头上的大约是52-79个/平方厘米,脸颊上的则大约是42-78个/平方厘米[2]。这也就是说,即使是跟面部最容易出油的额头相比,头皮的皮脂腺数量也有它的2倍之多,下图为皮脂腺电镜图。03特点三:12小时里,头皮表面分泌的皮脂量达到了288µg/cm²,而额头的皮脂量只有144µg /cm²。总之,跟面部皮肤相比,头皮更薄、皮脂分泌更加旺盛,由于有头发的遮挡,头皮的清洁比面部清洁更具挑战。与面部皮肤健康状况相似,头皮健康也有一个水油平衡的问题。例如头干,往往是头皮皮脂分泌过少,或头皮角质层被破坏,头皮保水能力减弱导致。头干会导致脱屑、瘙痒,就和面部皮肤脱皮、干燥一样。而不同的是,如果面部脱皮,人们会很重视,会用各种方法进行补水,缓解脱皮的现象。可头痒,人们就会去抓,不但症状得不到改善,搔抓后如果留下伤口,很容易感染。头干的反面是头油,一般是头皮皮脂分泌过剩导致。头油容易伴随头屑出现,因为导致头屑的真菌最青睐头油丰富的头皮。头油还容易产生异味,并使头发粘腻扁塌。头皮包含头发生成的最主要部位—毛囊,也是人体三大出油区之一,清洁不当很容易导致细菌滋生。头皮内的油脂腺分泌周期比面部肌肤要更快,再加上不断分泌的皮脂、染烫造型产品的残留,就会影响头皮健康,自然也就会影响头发健康。在家里如何科学的养护头皮?使用头皮护理产品针对不同的头部问题,可选用不同的头皮护理产品。目前市面上已经有很多针对头皮护理的化妆品。例如可以补水保湿的头皮保湿液、修复屏障受损或舒缓头皮敏感的头皮舒缓液或是精油、防脱固发的精华液等等,大家应根据自己的头部问题合理选用头部护理产品,而不是排斥它。养成良好的生活习惯,适当按摩头皮因为头皮下组织中富含血管和神经,平时还可以使用梳子或手指肚按摩头皮,起到放松头皮,加快头皮血液流通的作用。专业的养发店怎么保养头皮?头皮是头发赖以生存的土壤,毛囊埋于头皮之中,通过头皮的血液循环为毛囊提供营养,促进毛发健康生长,与此同时头皮上的毛囊口分泌油脂,保护头皮弱酸性环境,抵御外界细菌生长。还可以防止毛囊头皮的水分蒸发,与头皮汗孔分泌的汗液混合,给头皮涂抹上一层保护,保持头皮的水油平衡。专业养发店,一般都遵循这个逻辑做头皮保养,但是要注意养发店并不能治疗脱发,只能是改善或缓解脱发症状,治疗脱发那是医院的事。专业养发店一般会做头皮滋养养发店有不同的配方、养护仪器,有效清洁头皮的同时滋养头皮毛孔,清洁滋养一步到位。有效改善毛孔问题和保持水油平衡,延缓头皮松弛老化,让你的头皮恢复活力。帮助你的头发进行卸妆,轻松溶解多余油脂,清除化学残留,清爽不油腻,温和不刺激。专业养发店一般会做头皮SPA释放压力一般在做护理的时候会配合使用自己的配方精油,清洁头皮污垢,通过技法让人有头皮疏松的感觉,从而释放压力。压力大会引起头皮血液循环不足,影响头发健康。
头皮和面部皮肤相比,还有几个比较特别的地方:
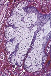
这也就是说,即使是跟面部最容易出油的额头相比,头皮的皮脂腺数量也有它的2倍之多,下图为皮脂腺电镜图。
总之,跟面部皮肤相比,头皮更薄、皮脂分泌更加旺盛,由于有头发的遮挡,头皮的清洁比面部清洁更具挑战。
与面部皮肤健康状况相似,头皮健康也有一个水油平衡的问题。
例如头干,往往是头皮皮脂分泌过少,或头皮角质层被破坏,头皮保水能力减弱导致。头干会导致脱屑、瘙痒,就和面部皮肤脱皮、干燥一样。
而不同的是,如果面部脱皮,人们会很重视,会用各种方法进行补水,缓解脱皮的现象。可头痒,人们就会去抓,不但症状得不到改善,搔抓后如果留下伤口,很容易感染。
头干的反面是头油,一般是头皮皮脂分泌过剩导致。头油容易伴随头屑出现,因为导致头屑的真菌最青睐头油丰富的头皮。头油还容易产生异味,并使头发粘腻扁塌。
头皮包含头发生成的最主要部位—毛囊,也是人体三大出油区之一,清洁不当很容易导致细菌滋生。
头皮内的油脂腺分泌周期比面部肌肤要更快,再加上不断分泌的皮脂、染烫造型产品的残留,就会影响头皮健康,自然也就会影响头发健康。
使用头皮护理产品针对不同的头部问题,可选用不同的头皮护理产品。目前市面上已经有很多针对头皮护理的化妆品。
例如可以补水保湿的头皮保湿液、修复屏障受损或舒缓头皮敏感的头皮舒缓液或是精油、防脱固发的精华液等等,大家应根据自己的头部问题合理选用头部护理产品,而不是排斥它。
养成良好的生活习惯,适当按摩头皮因为头皮下组织中富含血管和神经,平时还可以使用梳子或手指肚按摩头皮,起到放松头皮,加快头皮血液流通的作用。
头皮是头发赖以生存的土壤,毛囊埋于头皮之中,通过头皮的血液循环为毛囊提供营养,促进毛发健康生长,与此同时头皮上的毛囊口分泌油脂,保护头皮弱酸性环境,抵御外界细菌生长。
还可以防止毛囊头皮的水分蒸发,与头皮汗孔分泌的汗液混合,给头皮涂抹上一层保护,保持头皮的水油平衡。
专业养发店,一般都遵循这个逻辑做头皮保养,但是要注意养发店并不能治疗脱发,只能是改善或缓解脱发症状,治疗脱发那是医院的事。
养发店有不同的配方、养护仪器,有效清洁头皮的同时滋养头皮毛孔,清洁滋养一步到位。
有效改善毛孔问题和保持水油平衡,延缓头皮松弛老化,让你的头皮恢复活力。帮助你的头发进行卸妆,轻松溶解多余油脂,清除化学残留,清爽不油腻,温和不刺激。
一般在做护理的时候会配合使用自己的配方精油,清洁头皮污垢,通过技法让人有头皮疏松的感觉,从而释放压力。
压力大会引起头皮血液循环不足,影响头发健康。
对头皮进行专业的清理养护,从而达到改善发质,缓解脱发的效果,养护方式有很多,主要看你的头皮环境是出现了什么问题
最多设置5个标签!
头皮和面部皮肤的基本结构相同,都是由表皮、真皮和皮下组织构成。
皮肤组织结构示意图,如下。
头皮和面部皮肤相比,还有几个比较特别的地方:
这也就是说,即使是跟面部最容易出油的额头相比,头皮的皮脂腺数量也有它的2倍之多,下图为皮脂腺电镜图。
总之,跟面部皮肤相比,头皮更薄、皮脂分泌更加旺盛,由于有头发的遮挡,头皮的清洁比面部清洁更具挑战。
与面部皮肤健康状况相似,头皮健康也有一个水油平衡的问题。
例如头干,往往是头皮皮脂分泌过少,或头皮角质层被破坏,头皮保水能力减弱导致。头干会导致脱屑、瘙痒,就和面部皮肤脱皮、干燥一样。
而不同的是,如果面部脱皮,人们会很重视,会用各种方法进行补水,缓解脱皮的现象。可头痒,人们就会去抓,不但症状得不到改善,搔抓后如果留下伤口,很容易感染。
头干的反面是头油,一般是头皮皮脂分泌过剩导致。头油容易伴随头屑出现,因为导致头屑的真菌最青睐头油丰富的头皮。头油还容易产生异味,并使头发粘腻扁塌。
头皮包含头发生成的最主要部位—毛囊,也是人体三大出油区之一,清洁不当很容易导致细菌滋生。
头皮内的油脂腺分泌周期比面部肌肤要更快,再加上不断分泌的皮脂、染烫造型产品的残留,就会影响头皮健康,自然也就会影响头发健康。
使用头皮护理产品针对不同的头部问题,可选用不同的头皮护理产品。目前市面上已经有很多针对头皮护理的化妆品。
例如可以补水保湿的头皮保湿液、修复屏障受损或舒缓头皮敏感的头皮舒缓液或是精油、防脱固发的精华液等等,大家应根据自己的头部问题合理选用头部护理产品,而不是排斥它。
养成良好的生活习惯,适当按摩头皮因为头皮下组织中富含血管和神经,平时还可以使用梳子或手指肚按摩头皮,起到放松头皮,加快头皮血液流通的作用。
头皮是头发赖以生存的土壤,毛囊埋于头皮之中,通过头皮的血液循环为毛囊提供营养,促进毛发健康生长,与此同时头皮上的毛囊口分泌油脂,保护头皮弱酸性环境,抵御外界细菌生长。
还可以防止毛囊头皮的水分蒸发,与头皮汗孔分泌的汗液混合,给头皮涂抹上一层保护,保持头皮的水油平衡。
专业养发店,一般都遵循这个逻辑做头皮保养,但是要注意养发店并不能治疗脱发,只能是改善或缓解脱发症状,治疗脱发那是医院的事。
养发店有不同的配方、养护仪器,有效清洁头皮的同时滋养头皮毛孔,清洁滋养一步到位。
有效改善毛孔问题和保持水油平衡,延缓头皮松弛老化,让你的头皮恢复活力。帮助你的头发进行卸妆,轻松溶解多余油脂,清除化学残留,清爽不油腻,温和不刺激。
一般在做护理的时候会配合使用自己的配方精油,清洁头皮污垢,通过技法让人有头皮疏松的感觉,从而释放压力。
压力大会引起头皮血液循环不足,影响头发健康。
对头皮进行专业的清理养护,从而达到改善发质,缓解脱发的效果,养护方式有很多,主要看你的头皮环境是出现了什么问题
一周热门 更多>